

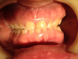
Fractured tooth restored with fiber post after root canal treatment and Cerec Empress Cad Cam crown in one visit.
PATIENT PHOTOS DEPICTING:
Note: Patients depicted in photos have provided their consent to display their pictures online. Results may vary.


Upper right bicuspid restored with Cerec EMax crown.
PATIENT PHOTOS DEPICTING:
Note: Patients depicted in photos have provided their consent to display their pictures online. Results may vary.


Anterior tooth fracture restored with Composite filling
PATIENT PHOTOS DEPICTING:
Note: Patients depicted in photos have provided their consent to display their pictures online. Results may vary.


Anterior two teeth fractured on the upper left of this 11 year old patient are reconstructed with Composite material, Tooth still vital and didn't need any root canal treatment.
PATIENT PHOTOS DEPICTING:
Note: Patients depicted in photos have provided their consent to display their pictures online. Results may vary.


Facial toothbrush abrasions restored with Composite fillings
PATIENT PHOTOS DEPICTING:
Note: Patients depicted in photos have provided their consent to display their pictures online. Results may vary.


Before: Patient needs Upper Arch Rehabilitation. Presents with Upper Anterior teeth that are stained, incisal edges (tooth edge) are worn down and chipped, and gumline recession is present.
After: Smile restored with placement of 8 Upper All Porcelain Crowns (Caps). Gumline and incisal edges are now uniform. Patient now has longer, better shaped teeth to enhance the smile line and aid in chewing/biting function.
PATIENT PHOTOS DEPICTING:
Note: Patients depicted in photos have provided their consent to display their pictures online. Results may vary.


Before: Patient needs a Single Tooth Replacent of one Upper Central Incisor.
After: Smile and function restored with a Single Implant and an All Porcelain Crown (Cap) that fits securely over the implant.
PATIENT PHOTOS DEPICTING:
Note: Patients depicted in photos have provided their consent to display their pictures online. Results may vary.


Before: Patient has 4 Upper Anterior Crowns (caps) that are poor in color and shape.
After: Smile restored and enhanced with 4 Upper Anterior All Porcelain Crowns. The color/shade matches the patients natural enamel and the two Central Incisors were lengthened to create a more natural smile.
PATIENT PHOTOS DEPICTING:
Note: Patients depicted in photos have provided their consent to display their pictures online. Results may vary.


Before: Patient unhappy with six Upper Anterior teeth. The edges are uneven, the gumline is uneven on the two central incisors, and the color/shade is not uniform. The two lateral incisor teeth have been previously restored and are poorly shaped.
After: Smile restored with 6 Upper Anterior Crowns that are properly shaped, gumline is uniform, and color/shade is the same for all 6 incisor teeth.
PATIENT PHOTOS DEPICTING:
Note: Patients depicted in photos have provided their consent to display their pictures online. Results may vary.


Before: Front (left) Central tooth has a poor restoration. Does not look natural and is not contoured properly to match the gumline of the rest of the teeth.
After: Replaced with an All Porcelain Crown (no metal). Tooth is now contoured to match the rest of the gumline. Restored tooth looks very natural and matches the shape and color of the patient's teeth.
PATIENT PHOTOS DEPICTING:
Note: Patients depicted in photos have provided their consent to display their pictures online. Results may vary.


Before: 3 Unit bridge with chipped porcelain molar (supporting metal showing on molar tooth), poor enamel color match to patient's natural teeth, and poor fit around the patient's gumline.
After: Replaced Bridge with an All Porcelain Bridge. The new bridge now also matches the patient's natural tooth color and was designed to properly fit around the gumline. Proper fit aids in decreasing decay and the ease of the patient's ability to clean around a bridge.
PATIENT PHOTOS DEPICTING:
Note: Patients depicted in photos have provided their consent to display their pictures online. Results may vary.




Before: Patient needs Upper and Lower Arch Rehabilitation.
After: Great smile, chewing function, and facial tissue support possible with an Upper Denture that is supported with Implants and Lower Implants and Crowns.
PATIENT PHOTOS DEPICTING:
Note: Patients depicted in photos have provided their consent to display their pictures online. Results may vary.


Grinding has caused severe wear on this patient's dentition resulting in TMJ pain and change in the occlusial dimentions. Normal bite is restored by opening the lower one third of the vertical dimension of the face by restoring with Full porcelain crowns.
PATIENT PHOTOS DEPICTING:
Note: Patients depicted in photos have provided their consent to display their pictures online. Results may vary.